يعاني العديد من الأشخاص من تسوس الأسنان، وتوجد أكثر من طريقة لعلاج التسوس وأهمها هو استعمال معجون الأسنان، فدعونا نتعرف معًا على أفضل معجون أسنان للتسوس وهو معجون اسنان كلوس اب ، وسنتعرف أيضًا على فوائده وطريقة الاستعمال.
تسوس الأسنان
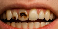
تسوس الأسنان من أكثر المشاكل التي يعاني منها العديد من الأشخاص سواء الكبار أو الصغار، وربما تنتشر هذه المشكلة بالتحديد بين الصغار بشكل أكبر بسبب عدم الاهتمام بنظافة الأسنان وتناول السكاكر والحلويات بشكل كبير.
ولكن تختلف درجة تسوس الأسنان بين شخص لآخر على حسب شدة الحالة حيث يحدث التسوس نتيجة إفراز حمش من البكتيريا الطبيعية في الفم حيث يساعد هذا الحمض على هضم الطعام، ولكن عند حالة التسوس يعمل العمض على إصابة طبقة المينا بالتآكل مما يسبب ثقوب في الأسنان وهذه الثقوب هي ما يعرف باسم التسوس.
والتسوس في الغالب يأتي معه أعراض مختلفة مثل آلام في الأسنان واللثة، أو الإصابة برائحة فم كريهة وغير مرغوب بها، يمكن أيضًا أن يصاب المريض بالحساسية فعندما يقوم بتناول المشروبات الساخنة أو الباردة أن يشعر بالألم.
ولكن توجد العديد من الحلول المختلفة لعلاج تسوس الأسنان لعل ابرزها هو استعمال معجون اسنان كلوس اب أو استعمال بعض أنواع المعاجين المشابهة التي تساعد على التخلص من التسوس.
أسباب تسوس الأسنان
تسوس الأسنان من الامور المزعجة والمؤلمة التي تصيب العديد من الأشخاص، ولكن في الواقع لا يصيب التسوس الأسنان بدون أسباب بل في الغالب قد يكون نتيجة لإهمال المريض بأسنانه، فسنتعرف الآن على ابرز أسباب الإصابة بالتسوس وهي:
- عدم الاهتمام بتنظيف الأسنان وتفريشها مرتين في اليوم على الأقل.
- تناول الطعام الذي يحتوي على كمية كبيرة من السكريات أو النشويات.
- تناول المشروبات الحمضية أو الغازية التي تسبب ضرر كبير على الأسنان.
- تناول الطعام قبل النوم مباشرة والتكاسل عن غسيل الأسنان، وخصوصًا أن هذه الحالة تحدث في الغالب مع الأطفال.
- عدم الحرص على زيارة الطبيب بشكل دوري للتأكد من صحة الأسنان.
وللحد من خطر تسوس الأسنان، يمكن استخدام فرشاة الأسنان الكهربائية بالاهتزاز الصوتي لأنها تنظف الأسنان بعمق وتساعد على إزالة البلاك الذي يُعد السبب الأول للتسوس.
فوائد معجون اسنان كلوس اب
معجون اسنان كلوس اب يعتبر واحد من أفضل المعاجين التي ينصح بها الأطباء دائمًا بسبب فوائده المتنوعة في الحفاظ على صحة الأسنان والمساعدة في التقليل من فرصة الإصابة بالتسوس، فدعونا نتعرف الآن على أهم فوائد هذا المعجون وهي:
- يساعد المعجون على الوقاية من تراكن طبقات الجير على السن.
- يساعد المعجون في الحفاظ على بياض الأسنان ويزيل المادة الصفراء التي تتراكم على الطبقة الخارجية من الأسنان.
- يقلل المعجون من نشاط البكتيريا في الفم.
- لا يسبب المعجون أي حساسية للمريض، وذلك نتيجة لمكوناته الهلامية اللطيفة على الأسنان فيمكن أن يصل إلى أصغر بقعة من السن وينظفها بشكل جيد.
- بساعد المعجون أيضًا على حصل الفم على رائحة منعشة وجميلة.
- يعمل المعجون على مقاومة التبصغات والموادة الصفراء التي تنتج عن شرب الشاي والقهوة بكثرة.
أهم أنواع معجون الأسنان كلوس اب
توجد مجموعة متنوعة من معجون اسنان كلوس اب، وكل نوع يتميز بفعاليته القوية في تنظيف الأسنان وحمايتها من خطر الإصابة بالتسوس، فما هي أشهر هذه الأنواع؟
• معجون اسنان كلوس اب بالليمون والملح البحري
يتميز هذا المعجون بأنه واحد من أشهر معاجين كلوس اب، حيث يتميز بطبقة ناعمة على الأسنان وله رائحة جميلة منعشة، بالإضافة أنه حصل على تقييمات عالية من قبل المستخدمين بسبب نتائجة المذهلة.
• معجون اسنان كلوس اب وايت ناو
معجون كلوس اب وايت ناو عتبر ايضًا من أقوى الأنواع التي تحتوي على الكالسيوم وهذا ما يجعله رائح للأسنان المصابة بالفجوات حيث يعمل على ترميم هذه الفجوات، كما يساعد على تنظيف الفم بشكل كبير ومع الاستخدام المستمر ستحثل على أسنان ناصعة البياض.
• معجون اسنان كلوس اب الأحمر
المعجون الأحمر يعتبر أشهر أنواع معجون كلوس أب، حيث يعمل المعجون على تنظيف الأسنان بشكل قوي كما يحارب انتشار البكتيريا ويبقي الفم منعشًا لفترة طويلة، وله طعم حار قليلًا وهذا ما يميزه عن باقي الأنواع الأخرى.
• معجون اسنان كلوس اب الأخضر
من أفضل منتجات كلوس أب هو المنتج الأخضر، حيث يحتوي هذا المعجون على مادة الزنك وهي مادة فعالة جدًا في تعقيم الأسنان والحفاظ على نظافتها، بالإضافة أن المعجون يتسم برائحة وطعم النعناع الذي يبقي الفم منعشًا وبرائحة جميلة لفترة طويلة، كما أنه يحافظ على بياض الأسنان.
معجون أسنان كلوس اب بالفحم
معجون أسنان كلوس أب بالفحم هو إصدار آخر لهذه السلسة المتميزة، وهو عبارة عن معجون يتميز بخلاصة الجوز الهند مع الفحم، فبالتأكيد من المعروف أن الفحم له دور كبير جدًا في الحفاظ على بياض الأسنان كما يساعد على التخلص من الطبقى الصفراء التي تنتشر على الأسنان.
ويزيل أيضًا المعجون طبقة الجير أو البلاك وسعره متوسط، فتبلغ سعر عبوة المعجون 75 ملي حوالي 42 جنيه.
ولتعزيز نظافة الفم بين الأسنان ومنع تراكم البلاك، يمكنك استخدام خيط تنظيف الأسنان عالي الجودة فهو يساعد على الوصول للأماكن التي لا تصلها الفرشاة بسهولة ويحافظ على انتعاش الفم.
طريقة استخدام معجون الأسنان
- لكي تقوم باستعمال معجون أسنان كلوس أب بطريقة صحيحة فإليك الطريقة:
- ستقوم بوضع كمية قليلة على الفرشاة التي تستخدمها في العادة.
- ثم ستقوم بتفريش أسنانك جيدًا بجميع الاتجاهات أفقيًا ورأسيًا.
- وبعد ذلك ستقوم بمضمضة المعجون داخل الفم مثل المضمضة العادية ثم اشطف فمك جيدًا.
- ويمكن استعمال نفس الطريقة السابقة مع إضافة بعض قطرات المياه على المعجون لتخفيفه قليلًا ثم استعماله بتفريش الأسنان في جميع الاتجاهات، ويمكن استعماله أيضًا لتفريش اللسان واللثة.
سعر معجون اسنان كلوس اب
- يتراوح سعر معجون أسنان كلوس أب بالليمون والملح للعبوة 75 مللى بسعر 28 جنيه مصري.
- يبلغ سعر معجون أسنان كلوس أب وايت ناو 50 جنيه مصري.
- يبلغ سعر معجون أسنان كلوس أب الأحمر حوالى 30 جنيه مصري.
- يتراوح سعر معجون أسنان كلوس أب الأخضر لأنبوبة 75 مللي 30 جنيه مصري.
كيفية الحفاظ على صحة الأسنان
توجد بعض النصائح التي يمكنا تباعها من أجل الحفاظ على نظافة الأسنان وهي كالتالي:
- تنظيف الأسنان يوميًا باستعمال الفرشاة والمعجون واستخدام خيط الأسنان أيضًا لإزالة البقايا العالقة بين الأسنان.
- استخدام مضمضة كل فترة من أجل تعقيم الفم والحفاظ على رائحته ومحاولة القضاء على أي نوع بكتيريا.
- تحنب تناول كمية كبيرة من الاطعمة التي تحتوي على نسبة عالية من السكريات أو حتى تناول المشروبات الغازية لأنها تنشط انتشار البكتيريا في الفم.
- محاولة تناول غذاء صحي يحتوي على نسبة عالية من الفيتامينات والمعادن المهمة لصحة الأسنان.
- لا تستخدم الأسنان في فتح العلب المقغلقة بشكل محكم حتى لا تتعرض الأسنان للكسر.
- لا تفرط في تناول المشروبات مثل الشاي والقهوة أو المشروبات الملونة لأنها تغير من لون الأسنان.
- تجنب التدخين لأن له دور كبير أيضًا في تغير لون ورائحة الفم والأسنان.
- احرص على زيارة الطبيب بشكل مستمر لعلاج أي مشكلة تظهر على الفور.
وختام المقال نود أن ننصح الجميع باستعمال هذا المعجون نظرًا لفوائده المذهلة ومميزاته التي يشيد بها الأطباء دائمًا، وأما خلال مقالنا فتعرفنا على معجون اسنان كلوس اب وأفضل أنواع المعجون وفوائده وطرق الحفاظ على الأسنان، وتعرفنا أيضًا على أسعار المعجون في مصر، فنتمنى أن كان هذا المقال مفيدًا لكم.










التنبيهات : فوائد القرنفل للاسنان وطريقة استخدامه، وهل يسبب أضرار؟ - طبيبي
التنبيهات : فرشاة اسنان سنسوداين - مميزاتها وأنواعها وأسعارها - طبيبي
F*ckin’ remarkable issues here. I’m very happy to peer your article. Thank you a lot and i am taking a look forward to touch you. Will you please drop me a mail?
dqid3o
you’re really a good webmaster. The web site loading speed is amazing. It seems that you are doing any unique trick. Furthermore, The contents are masterwork. you have done a excellent job on this topic!
Hello. Great job. I did not imagine this. This is a excellent story. Thanks!
Wow! This can be one particular of the most helpful blogs We have ever arrive across on this subject. Actually Great. I am also an expert in this topic therefore I can understand your hard work.
Wow! Thank you! I constantly needed to write on my blog something like that. Can I implement a portion of your post to my site?
Outstanding feature
Just wanna remark that you have a very decent internet site, I enjoy the style it really stands out.
An impressive share, I just given this onto a colleague who was doing a little analysis on this. And he in fact bought me breakfast because I found it for him.. smile. So let me reword that: Thnx for the treat! But yeah Thnkx for spending the time to discuss this, I feel strongly about it and love reading more on this topic. If possible, as you become expertise, would you mind updating your blog with more details? It is highly helpful for me. Big thumb up for this blog post!
You could certainly see your skills within the paintings you write. The world hopes for more passionate writers like you who are not afraid to say how they believe. Always follow your heart. “The most profound joy has more of gravity than of gaiety in it.” by Michel de Montaigne.
Excellent overview
Heya i’m for the first time here. I came across this board and I find It really useful & it helped me out a lot. I hope to provide one thing again and aid others such as you helped me.
التنبيهات : جهاز تبييض الاسنان - الأنواع والمميزات والعيوب والأسعار - طبيبي